• Info
      • Age: 45
      • Sex: female
      • Medical history:

        A patient presents with pain in the sole of the foot on both sides, especially on the left side, which occurs with exertion, particularly during the first steps in the morning.

        The question of whether there are rheumatic manifestations or whether the complaints are mechanically induced should be clarified.

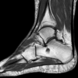
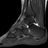
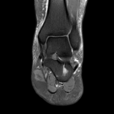
  • 1: Pain on the sole of the hindfoot
    • Cases
    • Split
    • Overlay

Thumbnail bar: Displays icons for each series of images, as well as questions and summary. Questions must be answered in order to make further series visible. Questions can only be answered once. The correct solutions are displayed at the end of the case. The pictogram bar can be scrolled to the right and left.

Mild plantar fasciitis and intraosseous ganglion of the calcaneus

Fullscreen