• Info
      • Age: 45
      • Sex: female
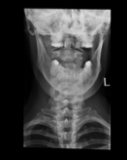
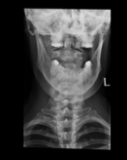
  • 1: Massive Pain of the cervial spine
    • Cases
    • Split
    • Overlay

Thumbnail bar: Displays icons for each series of images, as well as questions and summary. Questions must be answered in order to make further series visible. Questions can only be answered once. The correct solutions are displayed at the end of the case. The pictogram bar can be scrolled to the right and left.

Acute calcific deposit on the enthesis of the longus colli muscle

The severe cervical spine pain prompted an emergency MRI examination, which showed a clear prevertebral inflammatory soft tissue process. On close inspection, a calcific deposit anterior to the dens axis can already be suspected on MRI (especially T2 or axial T1fs Gd+). The calcium depot is only shown very fluffy on X-ray and CT, suggesting an acute stage with precipitation/resorption of the calcific milk.

Therapy is initially conservative. Punctures and surgery of the calcific deposit can be done from endooral.

The longus colli muscle is a less common location of this condition, which should be referred to as HADD or acute calcific deposit. Also affected may be supraspinatus tendon and other tendons of the rotator cuff, extensor carpi radialis tendon, deltoid muscle, or hip adductors. 

Tip: Use the overlay button to see markers for all findings!

Fullscreen